皆さんこんにちは(^-^)
助手の高橋です。
今回は保険の差し歯と自費の差し歯の違いをわかりやすく説明してみたいと思います!
まず、こちらは保険の差し歯が上の前歯2本に入っています。
1本5000円ほどで入れることが出来ますが、ご覧の通り使っているうちに変色してきます。(だいたい2~3年から変色が始まります。)
これは、材料にプラスチックを使っている為です。
プラスチックは、水分や着色料を吸着してしまうと同時に、プラークが付きやすいため、口臭の原因になることもあります。
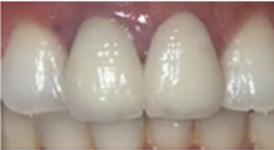
一方、こちらは上の写真と同じように上の前歯2本に自費の差し歯が入っています。
ほとんど自分の歯と見分けが付かないことがお分かりいただけると思います。
色は半永久的に変わりません。
材料であるセラミックの性質上、まれに欠けることがありますが、定期的に受診していただいている患者様には、破損時無償にて交換させていただきます。
やまざき歯科では、通常治療に立ち会うことのない技工士さんにも立ち会ってもらい、色や形など、細かな打ち合わせが出来ますので、安心して納得のいく差し歯が入れられます(*^-^*)
費用は1本90000円~です。
セラミックは、見た目の美しさはもちろんのこと、プラークも付きにくい為、保険の差し歯に比べお口の中を清潔に保つことが出来ます。
虫歯や歯周病など、予防の観点から見ても大変オススメです(*´ω`*)
変色してしまった差し歯が気になっている方がいらっしゃいましたら、ぜひ1度やまざき歯科までご相談くださいませ(^-^)




やまざき歯科クリニック

