お知らせ
当医院の新型コロナウィルス対策について
当医院では新型コロナ対策として、以下のことを実施しております
・クリニックの入口に消毒液を設置しております
・患者さんの座る歯科ユニットを、毎回消毒液で清掃しています
・使用する器具等は、毎回滅菌消毒を施しています(以前から実施)
・使用する手袋は毎回新しいものに交換しております(以前から実施)
・その他、感染防止に気をつけると共に、手に触れる箇所を極力消毒しております
なるべく患者さんが安心して、クリニックを受診できるようスタッフも日々気をつけております。
診察時間
地域密着で26年、患者様との信頼関係を大切にしています。
川崎市中原区上新城のやまざき歯科クリニックでは、一般歯科からインプラント・審美歯科・歯周病治療などの診療を行っております。地域で26年、さまざまなご要望の患者様がいらっしゃいましたが、お一人お一人に丁寧な治療を提供させて頂いております。患者様との信頼関係が何より大切だと思っています。長年の経験と最高の質を探求し患者様の本当のご満足いく治療を心掛けております。
患者さんとの距離が、とても近い歯医者
歯医者というと、皆さんどんな印象をお持ちでしょうか?
- 痛い、怖い
- 直ぐに歯を削られてしまう
- 高額な治療を勧められてしまう
- 先生やスタッフが事務的すぎる
- 先生やスタッフと世間話ができない
- 先生やスタッフに質問できる雰囲気ではない。質問できる時間がない
やまざき歯科クリニックでは、患者さんとのコミュニケーションをとても大事にしています。
今までの歯医者のイメージとは違った。患者さんファーストの歯医者を目指しています
クリニック内にアンケートボックスを設置して、定期的に患者さんの声を聞いています
アクセス
アクセス
南武線『武蔵新城駅』徒歩1分
住所
〒211-0045
神奈川県川崎市中原区上新城2-6-7
電話番号
044-751-0575
FAX番号
044-387-3313
やまざき歯科クリニックの特徴
安心・安全が第一のクリニック
当院は当たり前のことですが、先ずは患者さんの安心で安全な歯科医院であることを第一優先に考えています。
治療に使う器具に関しても、患者さんの治療前に一点一点滅菌処理してから使用しています。>>詳しくはこちら
患者さんの考えを大事にするクリニック
患者さんがご自身のお口の中をどのようにしたいのか。いきなり治療をするのではなく、その患者さんの考えを先ず聞いてから、それに合った治療を行っていきます。そうした患者さん第一の治療を長年行ってきたため、地域の皆様に親しまれて27年にもなりました。家族で2代、3代にわたって通ってくださっている方がほとんどです。>>詳しくはこちら
ホスピタリティー(思いやり)のあるクリニック
歯医者は誰でも嫌なものです。だからこそ当医院では患者さんがなるべく安心して治療を受けることが出来るように、院長、スタッフ全員で患者さんに対してなるべく負担をかけないことを心がけています。そうしたホスピタリティー(思いやり)の高さが、患者さんから非常に喜ばれています。>>詳しくはこちら
患者様向けのオリジナルセミナーを開催
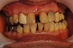
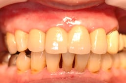
クラウンブリッジ、審美歯科の症例
新型コロナ対策 口腔ケアで免疫力をアップさせよう!
皆さんこんにちは。
助手の高橋です(^-^)
今回のブログテーマは、なかなか終息の兆しが見られない新型コロナ関連について取り上げたいと思います。
そして、病気の発症は微生物の悪さをする力と免疫力のバランスが崩れた時に起こります。
なので、このバランスを免疫力優位の状態にしておくことが大切です。
その方法の1つが、口腔ケアです。
口の中には細菌がたくさんいるのをご存知ですか?
常在細菌といって、体を守る働きをしてくれるものもありますが、悪さをする細菌もいます。
この悪さをする細菌やウイルスを減らすことが何より大切です。
細菌の塊でもあるプラークは、歯磨きをしないと落とすことはできません。
そして、口の中にはもう1つ細菌の塊があります。
それは、舌の表面についた舌苔です。
これらの細菌を口腔ケアにより減らすことで、口腔の免疫が十分に働くことができるようになるのです。
いつもの散歩道で




やまざき歯科クリニック









