こんにちは
根管治療中のこわたりです。
久しぶりに歯の治療🦷をしました
患者様の気持ちが良くわかりました…
歯の🦷治療ってホントにツライですね〜
患者様のサポートができるようにがんばります
何かあれば遠慮なくおっしゃって下さいね〜
さて‼️
今日はある患者様のお口の変化を見てもらいましょう〜
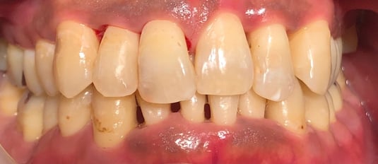
10月7日
歯石除去前です。
11月2日
歯石除去後です。
綺麗になりましたね〜



前歯の虫歯治療して綺麗になったのもありますが、歯肉の色よ‼️
上の写真と見比べてみて下さい。
ピンク色の綺麗な歯肉になっているではありませんか











なんだか嬉しいです
歯周病でお困りの方、ぜひやまざき歯科にご来院くださいませ🦷




やまざき歯科クリニック

