こんにちは
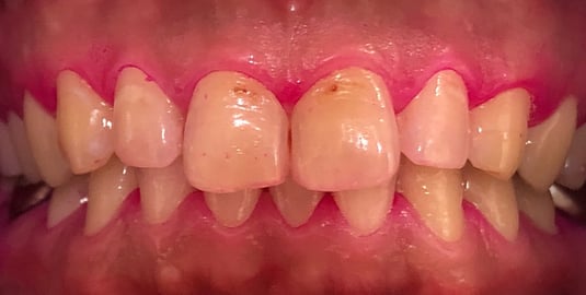
今日は先日メインテナンスにいらして頂いた患者さんの染め出し後をお見せします‼️
(口腔内写真下手でごめんなさい
ブラボー
あらまっ‼️なんということでしょう

私が磨くところないやろってくらい綺麗
素晴らしくブラッシング上手な29歳男子のお口のなかでした
皆さんも自分がどれくらい磨けているか見たい方ぜひぜひやまざき歯科クリニックまで
お待ちしております




やまざき歯科クリニック

