こんにちは
武蔵新城やまざき歯科の歯科衛生士こわたりです。

今日は暖かいですね〜

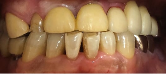
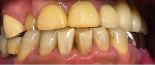
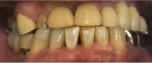
さて以前に投稿した歯周ポケットのできてしまった患者様の歯肉の変化です

歯周ポケット内の歯石を除去後、ホームケアの徹底、月一回のクリーニングを経て現在歯周ポケットは一部深いところで4ミリのところはありますが、他は正常値内に治っております。





歯肉の腫れ、色の変化おわかりになりますでしょうか❓
歯周病は歯を支える歯槽骨を溶かしてしまうコワーイ病気です。歯の成人病ともいえます。どんな年代の人でもかかります。年のせいではありません。
歯周病になってからの治療は簡単ではないです‼️
ではどうすれば良いのか…
簡単ですね

歯周病にならないように予防すればよいのです。
まずはご自身のお口の状態を知ってみませんか❓
検査検診受け付けております




ご自身で歯周病かな❓と思う方一緒に歯周病を治しましょう

お待ちしております
