こんにちは
武蔵新城やまざき歯科
クリニックの
こわたりです。
ギックリ腰の季節です…
今年もやってしまいました







なんで毎年…
これからは、腹筋、背筋きたえます
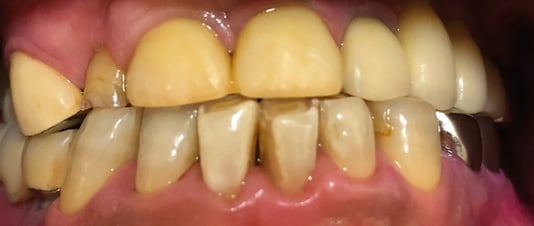
さて、お久しぶりにいらした患者さまです
わぉ
赤い
真っ赤や
真っ赤や
そして…歯周ポケットも
今回は歯肉縁上歯石を除去してブラッシングの確認、クリーニングをしました。
次回から、歯周ポケットの中の歯肉縁下歯石の除去です。
歯石除去とブラッシングで歯周ポケットを減らしましょう
それでは…
皆さまもギックリ腰にはお気をつけて下さいね〜




やまざき歯科クリニック

