· 

歯石取り

こんにちはゲラゲラ
インフルエンザに負けないこわたりです音譜音譜音譜
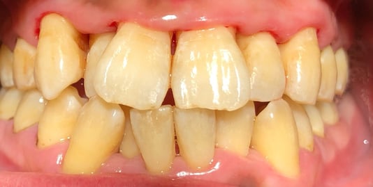
12年ぶりにお見えになった患者さまです歯
歯石いっぱい付いてますね〜ガーン上矢印
上下前歯6本づつ歯石とりました下矢印
キレイになりましたね〜キラキラキラキラキラキラ
じゃんじゃんとれて…
楽しかった〜キラキラ
歯肉の状態がどうなったか、また後日更新します‼️