歯周病
次の症状が見られる方は要注意です
・歯肉から出血する
・歯肉が退縮して歯が長く見える
・歯が移動して、歯間に隙間があるとき
・多量の歯石が形成されているとき
・歯がグラグラしているとき
・口の中で変な味がしたり、口臭があるとき
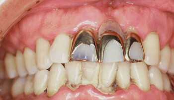
写真の患者様は歯周炎のすべての症状が認められます。
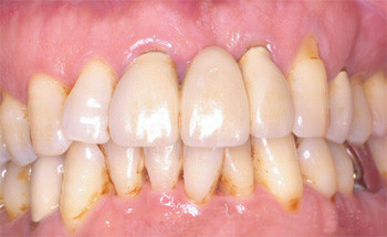
治療することによって歯肉の炎症が改善されました。
術前
術後
術前には歯周組織の破壊により歯の移動が認められますが、矯正治療したわけではありませんが歯周組織が健康になり歯並びまで改善しました。
歯周病は、歯周炎と歯肉炎に分けられます。そしてそれは歯をささえている組織の炎症を意味しています。歯周炎自体は歯を冒すことはないがその周りの組織を冒す歯科疾患です。結果として歯の周りの骨が溶けます。
だから健全な歯でもこの病気で脱落することがあります。
歯肉は口の中で見ることが可能である支持組織の一部です。ここは歯周病が最初に発生する場所です。
「歯肉炎」は歯肉に限局した炎症のことであり、骨の吸収は認められません。歯肉炎がより深く歯牙支持組織中に進行した時に、骨吸収(骨が溶けること)が起こりその時点からこの病気は「歯周炎」と呼ばれます。歯周炎の徴候の一つは歯がぐらぐらと動揺し始めることです。
左の図は歯周炎(歯槽膿漏)の状態を表しています。
歯の周りの歯周組織が失われているのがわかります。
歯周組織とは、歯肉、歯根膜、セメント質、歯槽骨
歯周病はこれらの歯周組織が失われる病気
健康な歯周組織はどのように見えるのでしょうか?
このように、歯ばかりでなく歯肉も綺麗です。
病的なものは最初に示しました。
歯周病の原因
歯周病は細菌感染症です。一番重要なことは細菌の感染を取り除いてあげることです。
お口の中には300~400種類くらいの細菌が住み着いています。これらの細菌は私達が食事をすることによって歯の周りにくっつきます。歯の周りに付く白っぽい堆積物をプラークと言います。歯垢とも言います。バイオフィルムとも言います。例えば、パイプとか流しのシンクにこびりついた汚れはお掃除しずらいですね。これらのよごれもバイオフィルムと呼ばれています。
このプラークの中のある細菌が歯周病の原因です。
歯周病の原因菌は嫌気性菌が多いです。例えばAA菌、PI菌、PG菌、スピロヘータ等です。
細菌のほかに原因はありますか?
原因はプラークの中の歯周病菌ですが、全身状態が悪かったり、ある種の病気は歯周病に影響を与えます。妊娠、喫煙も間接的に歯周病に影響を与えます。
歯周病は遺伝ですか?
いいえ、そうではありません。しかし抵抗力という面では遺伝するかもしれません。
骨が溶ける理由
細菌が歯肉の中(体の中)進入すると、毒素を出します。このまま無抵抗を続けると、体はまいってしまい、毒素によって死んでしまうかも知れません。そこで、体は細菌に対しての防御の戦いを始める。まず、血管から白血球やその他の血液成分がにじみ出てきて戦いに加わる。白血球は細菌を体内に取り込んで消化しようとし、血液の液体成分の中にある免疫体その他のものも細菌が広がるのを防止しようとする。だから、細菌の進入した場所はてんやわんやの大騒ぎになる。このことを炎症反応と言う。
戦いの結果
防御に成功し細菌に打ち勝てば、細菌はあとかたもなく消えてしまう。
逆に細菌の力がつ強いと、細菌は全身に回って私達の命はなくなる。
細菌の力が強いと白血球そのものも殺されるし、組織も毒素のために壊される。このとき白血球の死骸や、組織の壊されたものや、分泌された液体成分などが一緒になったものが「うみ」である。うみを持つようになるのは炎症がかなりひどかったことを意味し、組織の犠牲も相当ひどかったことを意味する。
細菌が歯肉の中に進入しその結果、炎症を起こし、歯肉が壊死して、骨が溶け始めます。
歯周病の治療 この病気を治すために何をするべきですか?
より早く治療を始めれば始めるほど、よい結果が得られます。プラークがこの病気の主因ですからプラークは規則的に歯から効果的に除去されなければなりません。家庭療法はおそらく、治療の中で最も重要なものです。口腔内の手入れのやり方が歯科医師と歯科衛生士によってなされます。
家庭療法とは何ですか?
家庭療法とは自宅での適切な口腔清掃を意味します。プラークを取り除く最も効果的な方法はブラッシングです。歯科医師、歯科衛生士は患者様がどのような歯ブラシの形、サイズが使用されるべきか、また、フロスや歯間ブラシ等のどのような補助器具が必要かを勧めることが出来ます。家庭療法は患者様ご自身が歯をずっと保ちたいと願うのならば効果があるでしょう。治療に成功したいのなら、歯、歯肉大切に思うこと、貴重なものと思うことが大切です。
どのような治療が必要ですか?
歯からすべてのプラークや歯石が取り除かなければなりません。したがって歯科医師や歯科衛生士により徹底的な歯石除去、歯垢除去が行わなければなりません。 時々深いポケットを除去したり、又他の目的で小外科処置を行うことが必要なこともあります。
ポケットがあまりに深い場合、根の数が複数である場合外科処置がしばしば絶対不可欠なものになることがあるということも知っておいてください。
病気になってから治療するよりも、病気にならないように予防することの方が常に最良の方法であります。 早く治療を始めれば始めるほど、良い結果をもたらします。 歯肉炎の場合には100%の治癒が可能です。歯周炎の場合にはそこまではいきません。なぜなら、一度失われた骨は再生できないからです。しかし病気がさらに進行することを止めることは出来ます。もし、手遅れにならないうちに歯周炎が治療されるならば、ぐらぐになった歯は再びしっかりとして骨植が良くなります。
歯は清潔で歯肉は健康的です。炎症はなくなっています。患者様の歯周組織にもはやポケットは全くありません。そして歯と歯肉を清潔に保つことが出来ます。ご自分の歯で食べられることはなんと素晴らしいことでしょう。この幸せは、高齢になるほど実感することです。わたしたち専門スタッフが力をお貸しいたします。「充実した健やかな生活」を一緒に創ってまいりましょう。
歯周病は治療すれば必ず良くなります当医院の治療の流れは次のようです。
- 精密検査:歯周組織の検査をして、この病気の原因を知ってもらいます。レントゲン写真やお口の写真をとり、病気を治すためのガイダンス、モチベーションをします。通常1時間~2時間くらいの時間を要します。
- 治療計画:治療の計画を立てます。
- 歯周初期治療:口腔衛生指導を行い、診療室では麻酔をして歯肉の奥深くの細菌や歯石を取り除きます。
- 歯周病コントロール:自分でコントロールできているかチェックする。治癒期間として2~3ヶ月開ける。
- 再評価検査:問題がないか検査
- 再治療計画:問題があれば治療計画の修正を行います。
- 修正歯周治療:通常、手術、抜歯、抜根が行われます。
- 再評価検査:最終精密検査を行います。
- 機能回復治療:かみ合わせが必要な場合回復します。
歯周病が治らない理由
治すためには2つの重要なことがあります。
1つは、歯のまわりのプラークを患者様がきちんと落とせるような術式、歯磨きをマスターして毎日実行すること。これは患者様の責任です。
2つ目は歯周ポケットの深いところまで術者が麻酔をしてきちんと細菌性のプラークを除去すること、これは術者の責任、この2つが守られていないと歯周病は治りません。つまり、歯肉の上は患者様の責任、歯肉の中は術者の責任分担です。もし、患者様が歯磨きを一生懸命やっているのに歯周病がうまく治らないのであれば、それは術者の技量不足です。歯周病は歯磨きだけでは治りません。歯周病の進行は歯肉の奥深いところで起こっていて症状は全くない状態で進行して行きます。麻酔をしてしっかりとスケーリングしてもらうことが大切です。
症例1
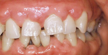
初診時 1996年
多量の歯石、プラークが認められます。口腔衛生指導に真剣に聞いて下さいました。
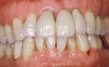
治療終了時1996年
プラークコントロールが素晴らしい方で1回スケーリングしただけで健康な歯肉になりました。
2006年 術後10年経過
何の問題も起こりません。多分20年後もこの状態を維持できるでしょう。




やまざき歯科クリニック

