やまざき歯科症例紹介
やまざき歯科症例紹介 · 05日 11月 2020
こんにちは 根管治療中のこわたりです。 久しぶりに歯の治療🦷をしました 患者様の気持ちが良くわかりました… 歯の🦷治療ってホントにツライですね〜 患者様のサポートができるようにがんばります 何かあれば遠慮なくおっしゃって下さいね〜 さて‼️ 今日はある患者様のお口の変化を見てもらいましょう〜
やまざき歯科症例紹介 · 28日 2月 2020
こんにちは武蔵新城やまざき歯科の歯科衛生士こわたりです。 今日は暖かいですね〜 さて以前に投稿した歯周ポケットのできてしまった患者様の歯肉の変化です 歯周ポケット内の歯石を除去後、ホームケアの徹底、月一回のクリーニングを経て現在歯周ポケットは一部深いところで4ミリのところはありますが、他は正常値内に治っております。
やまざき歯科症例紹介 · 26日 10月 2019
こんにちは 武蔵新城やまざき歯科クリニックの こわたりです。 ギックリ腰の季節です… 今年もやってしまいました なんで毎年… これからは、腹筋、背筋きたえます さて、お久しぶりにいらした患者さまです
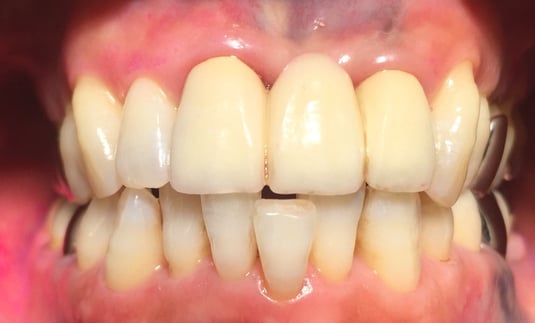
やまざき歯科症例紹介 · 26日 9月 2019
40代女性 左上1番が前に出ているのが気になり、歯並びを綺麗にしたいという患者さんの要望でした(治療前) 神経をとって、出ていた左上1番の並びを揃えた後、ファイバーコアを入れて(治療中)、オールセラミッククラウンを被せました(治療後)...
やまざき歯科症例紹介 · 01日 1月 2019
2019年1月 70代女性 10年前に一番奥歯をインプラント治療しました。とてもよく噛めると喜んでいます。今も3ヶ月毎の定期健診に来ています。口の中がいつもピカピカで、とても70代の歯肉とは思えません。
やまざき歯科症例紹介 · 23日 11月 2018
こんばんは歯科衛生士のこわたりです やまざき歯科は今日から3連休です なにしましょ…チョッピリ早い大掃除でもやりますかね〜 と、思っている間に1日が終わってしまいました 明日こそ‼️ 3ヶ月に一度きちんとメインテナンスに来てくれるMさんです




やまざき歯科クリニック











